Established patient emergency contact for after-hours call: (765) 838-3864

The image is a split-screen photograph of a woman with a radiant smile, one half showing her face and the other half showing her hands clasped together in front of her.

Smile Gallery

The image is a split-screen photograph of a woman with a radiant smile, one half showing her face and the other half showing her hands clasped together in front of her.
The image shows a close-up of a person s mouth with teeth that appear to be discolored or stained, possibly due to dental issues such as decay or neglected oral hygiene.

Before

The image shows a close-up of a person s smiling mouth, revealing white teeth and gums.

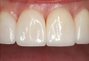
After

The image shows a close-up of a person s mouth with yellowish teeth, some of which appear to be missing or damaged.

Before

The image shows a close-up of a person s mouth with teeth, including some that are yellowed or discolored.

After

Alt text   Image of a man with a wide smile, showing his teeth and lip, against a plain background.

Before

Alt text   Image of a man with a wide smile, showing his teeth and a dimple on the left side of his face.

After

An image of a close-up view of a person s teeth, showcasing a dental implant and the surrounding gum tissue.

Before

The image shows a close-up of a person s teeth with a focus on the front row, which includes a prominent gap between two teeth.

After

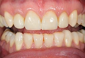
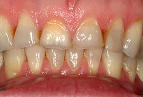
The image shows a close-up of a person s mouth with teeth that appear to be discolored or stained, particularly the front teeth.

Before

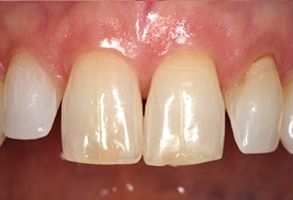
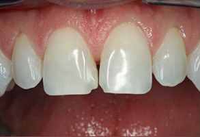
The image shows a close-up of a person s teeth with a focus on the front teeth.

After

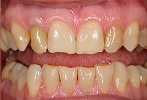
The image displays a close-up of a person s teeth, showing a smile with visible dental work and tooth enamel that appears to be in poor condition.

Before

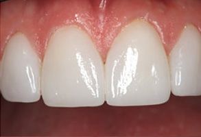
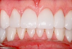
The image displays a close-up of a person s teeth, showcasing a bright smile with white teeth and gums.

After

The image shows a close-up view of teeth with a focus on dental work, specifically a bridge or partial denture.

Before

The image shows a close-up view of someone s teeth, featuring a large gap between the front teeth and stained yellowish-brown areas on the enamel.

After

Contact Us

Schedule your appointment online or give us a call to get started today.

Jill A. Adams, DDS 1721 S 9th Street, Lafayette, IN 47905